
Braces for your teeth are the beginning of an adventure that will give you greater confidence in your smile. After only a month, you might be asking yourself what you can expect. At Dentafix Dental Clinic in South Bopal, we understand that the initial month with your braces can be a combination of excitement and uncertainty. In this tutorial, I shall explain to you what you can expect in terms of your initial month with your new braces.

What Occurs in the First Month of Braces Treatment?

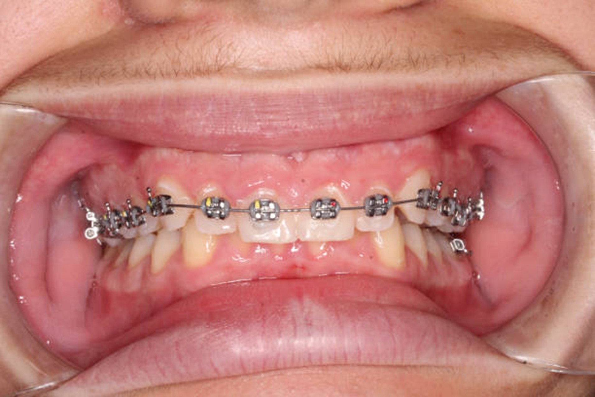
In the first month after fitted braces on teeth, your teeth and oral tissues will be adjusted to the newly applied force. In this period, your dentist at South Bopal will do some minor adjustment work on your teeth so that they move correctly.
Initial Adjustment Phase: Whereas for others, the initial stage after the installation of the braces might be a little painful because the teeth will experience pressure. However, this will go away after a few days.
Small Changes Have Begun
While it is still early, some patients do experience some slight changes within their teeth. This is expected, as it’s all part of the alignment process.
At Dentafix Dental Clinic in South Bopal, we make sure that you undergo this process with the utmost preparation from us.
Observable Changes in Teeth Alignment After 1 Month

Although braces for teeth take time, some changes can be visible in the first month itself. However, regular checkups will be conducted by your dentist in order to monitor the movement of teeth.
Movement of Teeth
By one month, you may observe some movement of teeth to some extent, especially in cases where you had misalignment or gaps. But overt changes are possibly still not achieved.
Shifting Teeth
Indeed, your teeth may feel a bit wobbly while the braces’ pressure pushes them towards their proper positions at proper times.
Gaps & Overlaps
If your teeth were gapped or overlapped, there might have been some noticable differences, although it might have taken a longer time to witness some prominent differences.
Curious About Your Braces Progress?
At Dentafix Dental Clinic in South Bopal, our experienced dentists in South Bopal are always here to monitor your progress and make sure you are on the right track to achieving the best possible outcomes. Make a follow-up appointment to see the progress of your braces!
How to Care for Your Braces During the First Month

Taking good care during the initial phase after getting braces for teeth can help make your procedure highly effective. Our team of dentists in South Bopal suggests the following to help your braces be in the best condition ever:
Oral Hygiene
Brush your teeth after every meal and use floss threaders to clean between the brackets. It is crucial to ensure that your teeth and braces are clean to prevent the development of plaque or cavities.
Foods to Avoid
Avoid foods that can be sticky and hard, which can actually harm your braces. Some examples include chewy candy, popcorn, hard fruits such as apples, and hard vegetables like carrots.
Use Orthodontic Wax
If there’s irritation within your mouth, such as from braces, orthodontic wax can be used.
Follow up with Your Dentist
Regular consultations with Dentafix Dental Clinic in South Bopal will help monitor your progress and make the necessary changes to your braces.
Common Concerns After 1 Month of Braces

After a patient has been wearing braces for teeth for a whole month, there are common issues that the patient would worry about. Some of the issues are as follows:
Pain & Discomfort
Some temporary pain or discomfort when adapting to the feeling in your teeth is normal. Taking over-the-counter medication suggested by your dentist may be helpful.
Sore Gums
The braces may cause some soreness in the gums, specifically during the initial month. However, most people find relief from the pain in a few days. Saltwater rinses are also helpful.
Loose Teeth
With the shifting of your teeth, they may start feeling loose. This is quite natural, and your dentist at South Bopal will keep a keen eye on this.
Loose Braces and Brackets/Wires
Sometimes, the brackets and wires might become loose. In that case, one should approach Dentafix Dental Clinic in South Bopal to get the matter arranged.
When Will You See Major Changes?

The changes that you feel during the first month after the installation of teeth braces would be only the start of this process. Change usually takes a few months for it to be noticeable. It would normally happen after three to six months for noticeable changes to be expected.
3-6 Months: This is when you will see the most noticeable changes taking place in your orthodontics treatment. You will see your teeth straightening and your bite function improving.
“Final Results” – The complete results that your braces for teeth will bring will require a period of 12 to 24 months, depending on the difficulty level of your case. But the progress that has been accomplished in the initial few months is an excellent indication to look forward to!
Conclusion
The initial month after getting teeth braces at Dentafix Dental Clinic in South Bopal marks the beginning of your journey to a straight and confidence-boosting smile. Even though you may not be able to notice any significant difference in your teeth as of now, you are moving in the right direction.
Just remember, having a straightened smile requires some time, and you have to be patient. Regular consultations and follow-up exercises play a crucial role in helping you achieve a better finish. Dentafix Dental Clinic in South Bopal is here to help you through.
FAQs About Gum and Teeth Pain During Pregnancy
Q1. How far should my teeth have progressed in the first month of braces?
Typically, after one month, you may see subtle changes in positioning; however, noticeable changes are expected to happen in three to six months.
Q2: Can it be considered normal to experience pain one month after the installation of braces?
If Yes, some pain and soreness are to be expected, particularly after adjustments. Over-the-counter pain medicines are helpful for this purpose.
Q3: Will I be able to eat with braces thereafter?
Yes, but don’t eat hard, sticky, or hard-to-chew foods that may damage your braces. Just eat soft foods in the first month.
Q4: How frequently should I visit the dentist while I am wearing the braces?
You must maintain regular visits to your South Bopal Dentist every 4-6 weeks for adjustments and observation.
Q5: When will I know the outcome of my treatment with the braces?
The final results will generally be seen after 12-24 months. However, noticeable improvements can be seen after 3-6 months.
Ready to Track Your Braces Progress?
We recommend you get in touch with Dentafix Dental Clinic, South Bopal, for booking your next visit. Your dentists in South Bopal are here to ensure you are going along well with your treatment, with a focus on helping you achieve your best ever smile!





